-
一滴水,足以折射太阳的光辉一朵花,可以映射自然的美好一份感谢闪耀着医患间真情的流露让我们用镜头和笔触记录服务有温度. 患者张大娘亲手将一面写有救死扶伤甘于奉献,大医精诚妙手回春 的锦旗交到赵春玉主任的手中,...
-
11月4日,医联体技术帮扶活动启动仪式在洛阳白马医院内一科病区成功举行。洛阳市第六人民医院心内科主任张全欣、儿科主任宋伟仓、神经内科主任李雪峰等一行人亲临医院开展帮扶对接、调研活动。洛阳白马医院党总支书记赵...
-
疾病早期筛查是预防疾病的必要途径。许多慢性病的发生发展需经历漫长过程,早期筛查能够及时了解机体功能状况,发现健康隐患,将疾病风险遏制于萌芽状态,为健康管理的有效实施提供科学依据。当前,我国心血管病患病率...
-
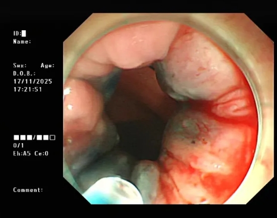
你说多少? 9颗布洛芬? 洛阳白马医院 近日,我院消化内科胃肠镜室接诊了一位特殊患者。小刘因误服9粒布洛芬缓释胶囊,导致药物中毒。所幸,家属察觉异常后迅速将其送至我院就诊。 来院...
-
什么是子宫腺肌症呢? 什么是子宫腺肌症呢? 通俗的讲,就是正常的子宫内膜跑到了子宫肌层内,导致每次月经,子宫肌层的内膜也会出血,不能排出,就会导致子宫腺肌病。通常合并子宫内...
-
接到豫卫医函〔2025]26号和洛卫医函【2025〕34号文件要求。即日起,在洛阳白马医院申请办理《健康证明》后,会将《健康证明》上姓名、性别、年龄、从业类型、编号,发证机关、发证时间等信息通过我院微信公众号、官网等渠道...
-
近期,洛阳白马医院消化内科接诊了一位患者。女性,80岁,以突发皮肤巩膜黄染1周入院。入院时可见老人家全身皮肤、巩膜中度黄染。入院后诊断胰头占位,梗阻性黄疸,肝功能异常等。考虑患者高龄,心肺功能较差,与家属沟...
-
9月21日,洛阳白马医院普外科吕伟子主任团队为73岁高龄患者实施了腹腔镜联合胆道镜微创手术治疗胆囊结石合并胆总管结石,一次性微创解决了困扰患者的胆囊结石、胆总管结石及反复发作的胆道炎症等问题。 双镜合璧 小切口解...
-
亲爱的准爸爸妈妈们: 7月28日,国家重磅推出《育儿补贴制度实施方案》,2025年起每孩每年可领3600元补贴,直至3周岁!连2025年1月1日前出生还没满3岁的娃,也能按月折算拿到补贴!这可是新中国成立以来,头一回这么大范围、...
-
一封感谢信 一面锦旗 朴实的文字 洋溢着对医护人员的感激 对洛阳白马医院的信任 传递着双向奔赴的浓浓医患情 近日,我院普外科收到两封感谢信和一面锦旗。信上的每一个字、每一句话,都充满着患者和家属真诚的感激,以及...



