外科系统
外科系统

外科系统

您的位置: 主页 > 健康科普 > 外科系统 >

外科系统

一根鱼刺引发的“手工课”:为了患者,医生现场手搓透明帽,结局极度舒适!”

发布时间:2026-04-16 15:09   本文出处:洛阳白马医院    【字体:

  1. 分享到:

“本以为只是卡了个鱼刺,忍忍就过去了,没想到差点闯了大祸!”在白马医院消化内科病房,刚康复出院的陈女士想起几天前的经历,仍心有余悸。一根看似普通的鱼刺,竟让她经历了从疏忽大意到惊魂未定,再到转危为安的波折,而这背后,是白马医院消化内科团队凭借精湛技术与创新思维,为她化解了危机。

 
 

 

图片
 
 
疏忽大意,小鱼刺酿成大麻烦
 
 
图片
 
图片
 
 
 
 
图片
 
 

三天前,陈女士在家中吃鱼时,不慎被鱼刺卡喉。当时只是觉得喉咙微微发疼,想着“过会儿鱼刺自己就下去了”,便没当回事,既没去医院检查,还尝试了吞米饭、喝醋的土办法。

可随着时间推移,喉咙的疼痛感不仅没有缓解,反而越来越剧烈,连吞咽口水都变得困难。意识到情况不妙,陈女士赶紧来到白马医院消化内科就诊。

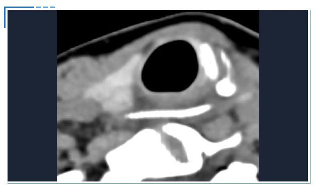
接诊的吕主任详细询问了陈女士的情况,结合她持续加重的咽痛,判断事情没那么简单。立即安排她进行双源CT检查并辅以三维重建技术。检查结果让所有人都捏了一把汗:一根近3公分长的鱼刺,深深卡在食管入口处,不仅位置刁钻,还已经刺穿食道,周围创面出现感染。

 

 

 
初次遇阻,常规内镜取刺失败
 
 
 
 
 
 
 
 
 
 
图片

消化内镜室迅速启动取刺准备,当胃镜缓缓抵达食管入口时,清晰可见一根长约3cm的鱼刺,正斜斜嵌顿在食管入口的右侧壁,鱼刺尖端已刺入黏膜下层,周围黏膜因刺激出现明显充血水肿。更棘手的是,鱼刺恰好卡在食管入口的生理拐弯处,这个部位是食管与咽喉的衔接点,角度刁钻,内镜难以稳定固定位置。

 
 

操作医生首先尝试使用常规透明帽辅助取刺。透明帽顺利扩张开食管入口,将鱼刺完整暴露在视野中,但当异物钳从内镜操作通道伸出时,问题出现了:由于食管拐弯的角度限制,内镜操作通道与鱼刺的位置夹角过小,异物钳的活动空间被严重压缩。医生反复调整内镜角度和异物钳方向,要么视野被遮挡无法看清鱼刺,要么异物钳无法精准对准鱼刺主体,尝试了数次后,始终无法牢固夹持鱼刺,首次取刺宣告失败。

 

 

 
创新突破,手搓透明帽巧取鱼刺
 
 
 
 
 
 
 
 
 
 
图片

首次取刺失败后,内镜团队紧急召开病例讨论会。大家一致认为,常规透明帽虽能暴露视野,但圆柱形的结构在这种特殊解剖位置下,反而成为了器械操作的阻碍。如何在保持视野清晰的同时,为异物钳创造足够的操作空间,成为了问题的核心。

这时,消化内科主任吕后宁大夫有了一个大胆的想法:对透明帽进行改良。说干就干,吕主任迅速行动起来。他利用现有材料,经过一番巧妙的改造,一个特制的内镜透明帽应运而生。这个小小的豁口,就像是在透明帽上打开了一个“操作窗口”,为异物钳的操作预留了空间。

一切准备就绪后,医生再次为陈女士进行内镜操作。胃镜带着改良后的透明帽缓缓进入食管入口,当鱼刺出现在视野中时,吕主任轻轻旋转胃镜角度,将透明帽的豁口精准对准鱼刺嵌顿的位置。随后缓慢推送胃镜,让鱼刺的一部分稳稳地进入豁口内——此时豁口如同一个“固定卡槽”,将鱼刺牢牢固定住。

紧接着,异物钳从内镜通道中缓缓伸出,借助豁口提供的充足空间,异物钳以最佳角度顺利接近鱼刺,精准地夹住了鱼刺。医生确认夹持牢固后,保持异物钳与胃镜轴线平行,缓慢退镜。退镜过程中,透明帽始终包裹着鱼刺,有效避免了鱼刺尖端划伤食管壁。当胃镜退出口腔时,那根让陈女士痛苦不已的鱼刺被完整取出。

图片

 

 

 
专业守护,消化内科为健康保驾护航
 
 
 
 
 
 
 
 
 
 
图片

术后,在消化内科医护团队的精心照料下,陈女士的感染得到了有效控制,喉咙水肿逐渐消退,身体一天天康复。

吕主任借此案例提醒广大市民,鱼刺卡喉后,千万不要抱有侥幸心理,更不要尝试吞米饭、喝醋、用手指抠喉咙等土办法。这些方法不仅无法取出鱼刺,还可能导致鱼刺越扎越深,引发食道穿孔、感染、大出血等严重并发症,甚至危及生命。

正确的做法是:立即停止进食,尽量减少吞咽动作,避免鱼刺移位。如果能看到鱼刺,可以用消毒镊子轻轻取出;如果看不到鱼刺或取出困难,应第一时间前往医院就诊,通过喉镜、胃镜、CT等检查明确鱼刺位置,由专业医生进行处理。

 

白马医院消化内科始终致力于为患者提供精准、高效、安全的诊疗服务,在消化道异物取出、消化道早癌筛查、消化性溃疡治疗等方面积累了丰富的经验。科室拥有先进的内镜设备和专业的医护团队,能够为各类消化疾病患者制定个性化的诊疗方案,守护市民的消化健康。

 
 
 
 

本文内容仅为健康科普,不能替代专业医疗诊断与治疗。若出现相关疾病症状,请及时前往医院就诊,并严格遵医嘱。